Главная
»
Детские коронки на молочные зубы купить
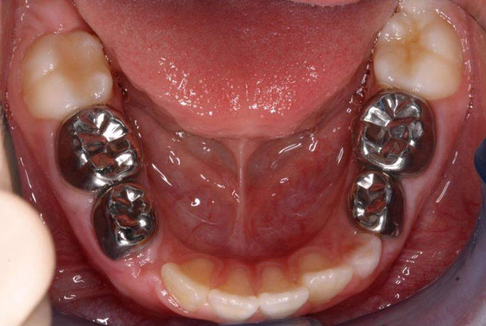
Коронки на молочные зубы